62/F came to casualty with c/of pain abdomen since 1 month 
Yellowish discoloration of eyes since 15 days 
Vomitings since 15 days
sob since 15 days 
Decreased appetite since 15 days
Patient was apparently asymptomatic 1 month back 
Had H/of pain abdomen on and off since 1 month - insidious onset, intermittent , diffuse and burning type of pain associated with decreased appetite taking only fluids since 15 days f/by vomitings - bilious, non- projectile, food or water as content whenever patient is taking oral feeds
Yellowish discoloration of eyes since 15 days 
Sob since 15 days inscidious onset gradually progressed from grade 2 to 3 associated with pedal odema and decrease urine output 
not associated with fever, cold, cough, orthopnea and PND
No pale coloured stools, mucous , blood or dark coloured stools 
0/examination: pt-conscious and tachypnic 
Afebrile 
Icterus + 
No pallor, cyanosis, clubbing, lymphadenopathy
PR - 90 bpm 
BP- 130/80 mm of hg 
RR - 34 cpm 
Spo2 -88 with RA 
98 with 2 L of oxygen
GRBS : 85 mg /dl
R/S : fine crepts + in B/L IAA ,ISA 
Decreased breath sounds in right IAA and ISA 

CVS - S1 and S2+
P/A - soft, tenderness + in epigastric region , right hypochondrium and umbilical region 
R/S : fine crepts + in B/L IAA ,ISA 
Decreased breath sounds in right IAA and ISA 

CVS - S1 and S2+ 
CNS - NAD

INVESTIGATIONS
Abg:
Usg abdomen
Cxr

X ray erect abdomen

Pleural fluid

Ascitic fluid
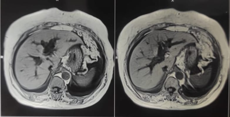
MRCP :
Pleural fluid:
 sugar:56
Proteins:3.7
LDH :409
Albumin:2.2
Amylase 8.7

Ascitic fluid:
sugar:49
Proteins:3.8
LDH :605
Albumin:2.2
Amylase 23
Saag :0.2
CT abdomen:
Referrals:
Surgery referal
gastroenterology referal
Ent referal
Diagnosis:
Obstructive jaundice secondary to CBD stricture/cholangio carcinoma

Popular posts from this blog

..